Combate à dengue é reforçado por novas tecnologias em Londrina
Drones, rede de armadilhas e aspirador para coleta e análise de mosquitos adultos auxiliam na prevenção da doença
O combate à proliferação do mosquito que transmite dengue, chikungunya e zika conta com novos aliados na cidade de Londrina. A Prefeitura, por meio da Secretaria Municipal de Saúde (SMS), tem adotado equipamentos e métodos para aprimorar tanto o monitoramento da presença dos mosquitos infectados, quanto a fiscalização dos locais que podem ser criadouros do inseto. Neste ano, Londrina segue com redução de casos e ausência de óbitos causados pela doença.
Uma das novas tecnologias empregadas é o uso dos drones na vistoria aérea dos imóveis. O equipamento teve uma aplicação piloto em 2025, em uma parceria bem avaliada entre o município e a Universidade Estadual de Londrina. Em 2026, essa forma de vistoria foi fortalecida com a aquisição de dois equipamentos próprios para a Vigilância Ambiental. Os drones são utilizados durante os mutirões semanais e também auxiliam no monitoramento de possíveis criadouros de vetores e em outras ações estratégicas direcionadas pela Diretoria de Vigilância em Saúde.

Para os agentes que trabalham com o auxílio do equipamento, essa nova medida tem acelerado e dado mais qualidade aos trabalhos, ao ampliar o campo de visão e apontar rapidamente a localização dos possíveis criadouros, como piscinas abandonadas. Com o equipamento, os profissionais também já localizaram diversas situações em que a caixa d’água estava destampada, situação da qual os moradores podem não ter conhecimento. Segundo o agente de Combate às Endemias Igor Angélico, o drone se soma ao trabalho de visita domiciliar e traz resultados assertivos. “Recentemente tivemos um bairro em que a gente fez todo um trabalho, mas mesmo assim não estava diminuindo. Então passamos com o drone e achamos muitas caixas d’água abertas”, contou.

De acordo com a agente de Combate às Endemias Vanessa Rodrigues, o uso do drone além de mostrar com clareza os potenciais criadouros, também permite que os locais sejam encontrados com maior facilidade. “Ao olhar a imagem, podemos tirar uma foto e identificar a localização exata do imóvel pelo mapa do município”, explicou.
Na avaliação do gerente de Vigilância Ambiental da Secretaria Municipal de Saúde, Nino Ribas, as novas ações contribuem para a redução no número de casos. “As ações desenvolvidas têm contribuído de forma significativa para o enfrentamento da dengue no município, especialmente pela ampliação da capacidade de monitoramento e resposta em tempo oportuno. O uso de tecnologias, como os drones, permite identificar locais de difícil acesso e potenciais criadouros com maior precisão, qualificando as intervenções e tornando as ações de campo mais assertivas”, afirmou.
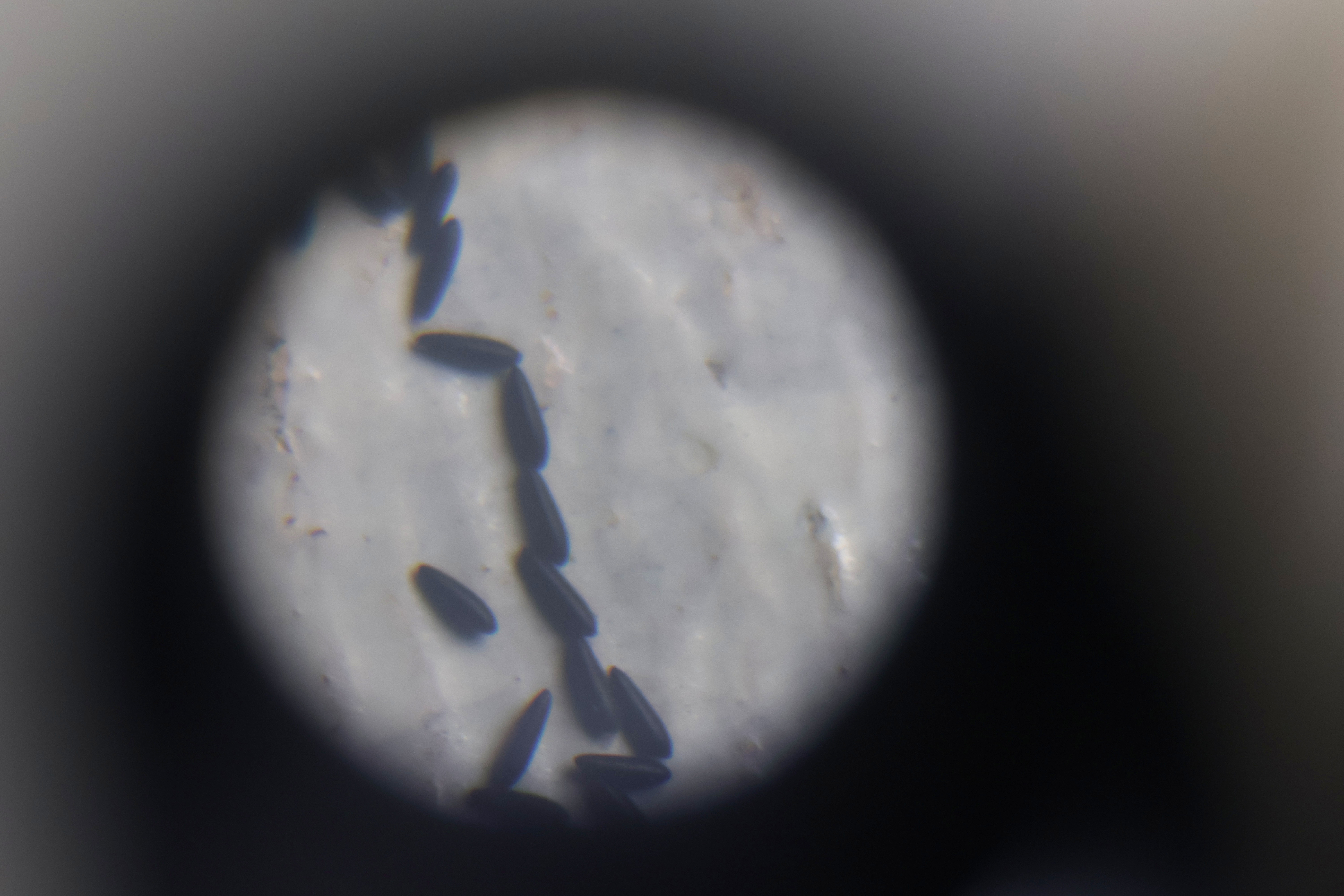
O drone não é o único método utilizado pela Secretaria Municipal de Saúde no combate à doença: durante os mutirões, também estão ocorrendo as aspirações de mosquitos adultos com um equipamento chamado “Aspirador De Nasci”. A coleta dos insetos é feita em uma parceria de pesquisa com a Universidade Estadual de Londrina (UEL) e tem como objetivo identificar os vírus da dengue em circulação, além do tempo de permanência deles em regiões que tiveram registro de casos confirmados da doença.

O trabalho atualmente está em fase de campo: após a captura, o biólogo e pesquisador de doutorado da UEL Felipe Augusto Reshe armazena os insetos em um freezer na temperatura de -80°C, para a preservação do material genético. Em breve, o material deve ser transportado em gelo seco até Curitiba, onde será analisado por um laboratório parceiro da Universidade Federal do Paraná. A avaliação é feita por meio da análise genética do Aedes aegypti, que verifica a presença de RNA viral de dengue, zika ou chikungunya.
Segundo Reshe, a quantidade de mosquitos aspirados tem variado bastante durante os mutirões, mas a coleta não é o principal desafio enfrentado pelo pesquisador: “Em algumas áreas estamos conseguindo bastante, em outras nem tanto. Nosso principal desafio é conquistar a confiança da população, para deixar a gente entrar”, contou o biólogo, que está sempre acompanhado dos agentes de combate a endemias do município.

Armadilhas tornam o monitoramento constante
Outra medida ampliada recentemente pelo município é a distribuição de ovitrampas: armadilhas que atraem as fêmeas do mosquito e são utilizadas para o monitoramento entomológico, por meio da contagem e eliminação dos ovos. Atualmente, Londrina conta com 1.500 unidades instaladas. Semanalmente, as placas das armadilhas são retiradas e levadas para o laboratório do Setor de Entomologia da Secretaria Municipal de Saúde, enquanto uma nova placa é colocada no mesmo local. “Nós já chegamos a encontrar mais de 3 mil ovos em uma só placa”, conta a agente da Coordenação de Controle de Endemias do município Ângela Mota.
Além da contagem e eliminação dos ovos das placas, a equipe da qual Ângela faz parte também analisa amostras de água trazidas pelos agentes de campo, para identificar a presença e quantidade de pupas e larvas do mosquito da dengue.
Em 2025, ao longo do período de soltura dos mosquitos resistentes com a bactéria Wolbachia, o laboratório em que ela trabalha também foi responsável pelo monitoramento da evolução do método, que cobriu 60% do município nesta primeira fase de trabalhos. A unidade fez a preparação das larvas para encaminhamento a uma análise com o objetivo de observar se, após a liberação de mosquitos Aedes aegypti com a bactéria Wolbachia, eles se reproduziam com os mosquitos Aedes aegypti locais, fazendo com que uma nova população de mosquitos carregasse a bactéria e não transmitisse mais a dengue. O trabalho deve retornar este ano, com ampliação da cobertura para 100% do município.
O gerente de Vigilância Ambiental, Nino Ribas, destaca o apoio da rede de ovitrampas nas ações preventivas: “Esta rede possibilita o monitoramento contínuo da infestação do vetor, orientando o planejamento das atividades e a priorização de áreas de risco. Aliadas ao trabalho diário das equipes em campo, essas estratégias fortalecem a vigilância, antecipam cenários de risco e contribuem diretamente para a redução da transmissão e da gravidade dos casos no município”, disse.
Eliminar água parada é a melhor forma de prevenção
Para além dos métodos mais antigos ou das tecnologias que estão sendo desenvolvidas, o cuidado básico ainda tem muita importância. Os agentes Wagner Amaral e Luciane Masiero fazem parte da equipe que reúne mais de 50 trabalhadores e trabalhadoras nos mutirões direcionados às regiões com maior volume de casos da dengue. Na última ação, realizada no Jardim Bandeirantes, eles trabalharam em dupla na coleta de resíduos com potencial de armazenar água parada. Encontram garrafas de vidro cheias de água, fragmentos de plásticos e outros diversos possíveis criadouros em espaços públicos dos bairros. “Estamos fazendo o Dia D, toda quinta e sexta desde fevereiro. Já passamos por diversos bairros”, contou Wagner.

Os moradores do Jardim Bandeirantes foram orientados durante o mutirão e também afirmam que os cuidados são sempre necessários, como compartilhou Antônio Sérgio Cazarin, morador do bairro. “Quando estou na rua e vejo copo jogado no chão ou latinha, jogo fora. Sempre estou cuidando”, contou. A moradora Aparecida Caetano da Silva também comentou sobre os cuidados adotados dentro de casa e no quintal florido, para que o mosquito da dengue não se reproduza. “Eliminei os pratos embaixo das plantas. Assim, quando rego a água já escorre e logo seca”, conta.
A vacina contra a dengue segue disponível nos postos de saúde, e é gratuita para crianças e adolescentes de 10 a 14 anos de idade. Nas últimas semanas, agentes de saúde do município receberam a nova vacina desenvolvida pelo Instituto Butantan, a primeira em dose única disponível no mundo.
Texto: Rakelly Calliari e Rhayssa Fernandes (estagiária)




